
10. april 2026
Trump ryster medicinalindustrien: Truer med 100 procent told i jagten på billigere medicin
Donald Trump har netop sendt chokbølger gennem medicinalindustrien med et hidtil uset ultimatum. Priserne skal ned nu, ellers klapper fælden med en massiv toldmur – og konsekvenserne for giganter som Novo Nordisk er enorme.

10. april 2026
Chokmåling ryster Washington: Amerikanerne kræver øjeblikkelig exit fra Iran
Mens oliepriserne eksploderer og Mellemøsten står i flammer, sender en ny måling et rystende signal til Det Hvide Hus. Nu reagerer Donald Trump med et opsigtsvækkende løfte, der kan ændre alt.

10. april 2026
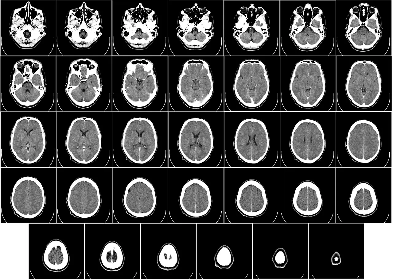
Kroppen advarer dig årtier før: Fire skjulte tegn på Parkinsons du aldrig må ignorere

10. april 2026
Ny forskning afslører: Alkohol skader hjernen længe efter den sidste genstand

10. april 2026
Dragsted åbner for kompromis: Formueskat er ikke et ultimativt krav

9. april 2026
Infantino fastslår: Iran skal spille VM i USA trods politiske spændinger

9. april 2026
Dan Jørgensen advarer: Mellemøst-konflikt truer med at lamme Europas energiforsyning
En alvorlig advarsel er netop landet på de europæiske regeringers borde. EU’s energikommissær, Dan Jørgensen, frygter nu, at krigen i Mellemøsten kan udløse en lammende krise for både transport og luftfart – og opfordringen er klar: Handl nu, før det er for sent.


